儿童补牙(儿童补牙一般多少钱一颗)

5岁小孩的大牙属于乳磨牙,后面会逐渐替换,那么,有没有补牙的必要么儿童补牙?作为一名口腔医生,我的回答是:乳牙发生病变不能因为会换而拖延不管,正确的做法是及时就诊,是龋齿就补牙,若是...

5岁小孩的大牙属于乳磨牙,后面会逐渐替换,那么,有没有补牙的必要么儿童补牙?作为一名口腔医生,我的回答是:乳牙发生病变不能因为会换而拖延不管,正确的做法是及时就诊,是龋齿就补牙,若是已经累及了牙神经,那么就应该及时做根管治疗。

儿童补牙(儿童补牙一般多少钱一颗)

儿童补牙(儿童补牙一般多少钱一颗)

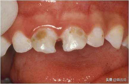
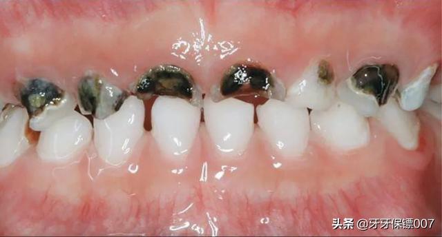
乳牙为什么会坏?其实,是牙齿就有可能会发生龋坏,乳牙也是如此,当细菌长期作用于牙齿表面时,就会发生硬组织脱矿形成窝洞,进而累及到牙神经。

儿童补牙(儿童补牙一般多少钱一颗)

乳牙为什么容易发生龋坏呢,我认为原因有两点:第一是小孩子口腔卫生意识差,没有掌握正确的刷牙方式。

儿童补牙(儿童补牙一般多少钱一颗)

儿童补牙(儿童补牙一般多少钱一颗)

第二是小孩子进食次数多,容易有大量的食物残渣聚集于牙齿表面,特别是睡前还在吃零食的情况。此外,家长的口腔保健意识也非常重要,若是认为乳牙反正会换,能够拖着就行,那么小娃娃的牙齿情况也得不到重视。

儿童补牙(儿童补牙一般多少钱一颗)

乳牙会换,为什么需要补?人的一生中有两副牙齿,即乳牙和恒牙,大多数情况下乳牙都会逐渐脱落和恒牙萌出代替。因此,很多家长不会重视乳牙病变问题,及时坏了也不会过多处理。

其实,这是错误的!

乳牙病变依然该得到重视,最常见的原因为:1.乳牙病变,会带来疼痛和影响咀嚼功能,进而影响小孩子进食及营养吸收;2.乳牙发生病变,甚至早期脱落,会影响后继恒牙的萌出及全口咬合关系。

乳牙常见问题的治疗?临床工作中,儿童口腔科每天都会接诊大量的患者,常见的口腔问题归纳如下:

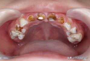
1.龋病,乳牙矿化程度低及没有清洁到位而发生细菌感染,需要及时去除龋坏后严密充填,若是累及到牙神经,就需要行根管治疗。

2.乳牙滞留,一般是在6岁开始,就会发生乳牙松动和恒牙萌出,若是恒牙已经异位长出,而乳牙还好端端的。那么不管乳牙是否松动都该及时拔除。3.乳牙早失,特别是乳磨牙,一般在11-12岁开始更换,若是早期发生缺失,需要制作间隙维持器予以保留间隙,以期恒牙能够合理萌出。

总结乳牙,是一个早期使用的牙齿,后期会逐步更换。因此,很多家长都认为乳牙病变无关紧要,只要没有发生明显的疼痛,就不需要特殊处理。其实,这是一个错误嗯观念。乳牙虽小,但也是我们人体重要的器官,发生病变时,最直接的表现就是疼痛和影响咀嚼,此外也会给后继恒牙萌出带来障碍。因此,乳牙也需要好好呵护,做好日常口腔卫生清洁,若是发生龋坏,需要及时处理,有效遏制病变的发展。

小孩的蛀牙可以直接补吗?有何依据?

小孩的蛀牙可以直接补吗?

儿童补牙(儿童补牙一般多少钱一颗)

我是一名儿童口腔医师,很高兴回答这个问题!

儿童补牙(儿童补牙一般多少钱一颗)

对于题主的这个问题,我觉得需要从两个方面来答复您:

儿童补牙(儿童补牙一般多少钱一颗)

儿童补牙(儿童补牙一般多少钱一颗)

儿童补牙(儿童补牙一般多少钱一颗)

儿童补牙(儿童补牙一般多少钱一颗)

一、小孩有蛀牙,是可以补牙的,也是需要补牙的!在我国,儿童蛀牙(龋齿)的发病率是相当高的。似乎“乳牙蛀了不用补”是许多家长潜意识中认为的规律;但其实,这是一种非常错误的观念!随着近几年爱牙日知识的不断普及,越来越多的家长也意识到了孩子口腔健康的重要性!

儿童补牙(儿童补牙一般多少钱一颗)

据我国2017年第四次全国口腔流行病学调查结果:5岁儿童乳牙患龋率为70.9%,比十年前上升了5.8个百分点;12岁儿童恒牙患龋率为34.5%,比十年前上升了7.8个百分点。

那么,孩子有蛀牙,为什么要治疗呢?

1发挥咀嚼功能、促进营养吸收

牙齿是人类重要的咀嚼器官,如果牙齿残破不堪,那么势必会影响正常的进食和咀嚼,这一点可能老年人会深有体会。但对于儿童来说,同样如此!儿童处于营养吸收的黄金阶段,充分的食物咀嚼,有利于营养吸收、身体发育及健康成长。因此,一口健康的牙齿对于孩子来说非常重要!

2.为恒牙的正常发育提供良好的生长环境

很多家长会认为“反正乳牙要换的,不补也没事”。但如果我们了解乳牙及继承恒牙的解剖结构,就会发现这种想法很危险。当乳牙在口腔内发挥功能时,恒牙就如一颗种子待在乳牙的树根下吸取营养,一旦乳牙这颗小树风雨缥缈,恒牙发育的土壤也会接连遭殃!临床上,有些孩子因为蛀牙严重,导致了牙髓炎症、根尖周感染、牙龈脓肿等情况,假如没有及时治疗,那么很有可能会影响恒牙的发育,造成恒牙的釉质发育不良、严重的甚至导致颌骨囊肿情况发生!3.防止发生严重的牙髓炎症

我们的牙齿通常分为三层结构,最外层坚硬的是釉质,而后是牙本质,最后一层提供营养的是牙髓!牙齿刚发生蛀牙的时候,仅仅累及釉质和牙本质层,那么孩子可能只表现为轻微的进食疼痛、吃甜食疼痛等;一旦越蛀越深,到了牙髓层,那就会出现剧烈的夜间痛以及自发痛,这往往会让爸爸妈妈们焦头烂额!

4.美观

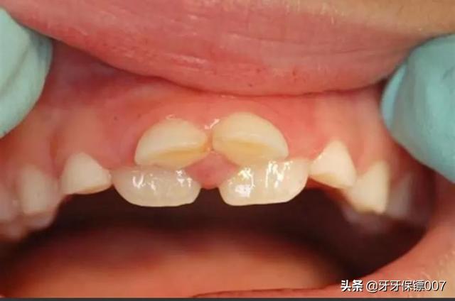
许多孩子因为喝夜奶,前牙区有明显的奶瓶龋表现。出门拍照都笑不露齿。久而久之,孩子会产生自卑的心理。因此,及时进行必要的修补,对于孩子成长过程中自信心的树立有重要的意义。

那么,孩子补牙有年龄限制吗?

通常来说,补牙还是需要孩子有一定的配合程度,如果配合度欠佳,那么补牙的效果也会大打折扣。当然,目前也有局麻下治疗、镇静麻醉、全麻下治疗等多种舒适化治疗方案,来帮助孩子解决配合度困难的问题。所以,孩子补牙虽无明确的年龄限制,总体上还是在配合度良好的情况下进行补牙,得到的效果会是最好的!

二、蛀牙了,能“直接”补牙吗?这个问题,就有条件限制了!并不是所有的蛀牙,都能直接补牙!医生会根据蛀牙的严重程度,决定合适的治疗方法!

1.浅龋

当蛀牙的范围仅累及最外层牙釉质时,我们一般称此为“浅龋”。孩子不会有明显的疼痛不适,此时,可以通过直接补牙的方式进行治疗。但是,临床上,这类情况相对较少。由于乳牙的龋坏速度非常快,往往形成蛀洞时,已经非常严重。只有在定期口腔检查的孩子中,才会偶尔发现!

2.中龋

当蛀牙继续发展,累及到中间的牙本质时,我们称此为“中龋”,此时会有进食疼痛感,但无自发性疼痛。临床上,一般也可以直接进行充填;对于疼痛比较敏感的孩子,我们可以通过局部麻醉的方式,来帮助治疗的顺利进行。

3.深龋——牙髓炎——根尖周炎阶段

一旦蛀牙发展到邻近牙神经的位置,那么就会出现“深龋”的一系列症状。包括冷热刺激痛、加重性疼痛。这一阶段还不进行治疗的话,就会感染牙髓,导致自发痛、牙龈痛、甚至出现颜面部的肿痛。

在这个阶段,就无法进行直接“补牙”了!临床医生会通过孩子的病情描述、临床检查、辅助X片检查,并结合自己的临床经验,给出适合的治疗方案!包括:局麻下补牙、抽部分牙髓治疗(活髓切断)、或者抽全部牙髓治疗(根管治疗),甚至是拔除患牙!

结语:毫无疑问,孩子蛀牙是可以补牙的!而且需要及时就医,听从医生专业的建议,采取适合的治疗方案!但是蛀牙如何治疗,也是有其专业性、特殊性的。不同的阶段,医生会采取不同的治疗方法,但是有一点是肯定的:千万不要拖,一旦拖成大洞、大坑了,那么受苦的还是孩子!

我是萌齿君,儿童口腔知识普及者,爱搞笑,喜欢科普的牙医奶爸!欢迎评论,点赞及转发支持,谢谢啦!

  • 发表于 2021-10-14 12:28
  • 阅读 ( 282 )
  • 分类:互联网

0 条评论

请先 登录 后评论
i周晴
i周晴

651 篇文章

你可能感兴趣的文章

相关问题